Khi nào thì trẻ em nên niềng răng sớm ?

15:17 |
Quan niệm về hàm răng đẹp là hàm răng đầy đủ với các răng mọc đúng vị trí trên cung hàm, có hình dáng bình thường và răng trên phủ ngoài răng dưới với tỉ lệ thích hợp có khớp cắn đúng.

Bạn nên đưa trẻ đến Bác sĩ chuyên môn về chỉnh hình răng mặt từ lúc 6,7 tuổi để Bác sĩ sẽ kiểm tra và phát hiện các lệch lạc răng hàm hoặc nguy cơ sai hình trong tương lai . Bác sĩ sẽ có những lời khuyên nếu nhận thấy trẻ cần được can thiệp niềng răng sớm và sẽ quyết định thời điểm điều trị. Một số trường hợp sẽ được giải quyết sớm, không cần phải chờ đến khi rụng hết răng sữa vì lúc đó, sự lệch lạc răng sẽ trầm trọng hơn.


Bởi vậy, tốt nhất là cứ mỗi 6 tháng cho trẻ đi khám định kỳ để tham khảo. Khi mà người Bác sĩ chuyên môn về chỉnh hình răng mặt người ta phát hiện cái gì, người ta sẽ giúp cho trẻ có được một bộ hàm răng đều và đẹp.

Những trẻ có một trong những dấu chứng hay thói quen sau đây cần được điều trị chỉnh hình răng mặt sớm:
- Khi có bất thường trong sự phát triển của răng, quá trình mọc răng và thay răng sữa, quá trình phát triển và mọc răng vĩnh viễn. Có thể nêu một số ví dụ như: răng xoay hay các răng mọc chen chúc, răng mọc sai vị trí , răng xô lệch,răng sâu, không ngay ngắn trên cung hàm; thiếu răng bẩm sinh, răng dị dạng và răng dư, răng sữa mất sớm, răng chậm thay , răng di chuyển do chấn thương.

- Khi trẻ có những thói quen xấu về răng miệng có thể gây sai lệch khớp cắn và những lệch lạc về răng và hàm mặt Ví dụ như: mút tay, mút môi , tật đẩy lưỡi, thở miệng.

- Có những biểu hiện sai khớp cắn như cắn chìa, cắn sâu, cắn chéo, cắn hở, hô, móm.
Sự phát triển lệch lạc hay bất hài hòa giữa xương hàm trên và hàm dưới như cung răng và xương hàm hẹp; răng nhô ra trước hoặc răng thụt vào trong, xương hàm nhô ra trước hoặc xương hàm lùi ra sau




Xem thêm các bài viết về : Hàm răng đẹp
Read more…

Implant khi nào mới thực hiện được ?

12:57 |
    Cần thủ thuật cấy ghép – Có thời gian điều trị & chăm sóc răng cấy ghép. Cấy ghép Implant là một thủ thuật đòi hỏi sự khéo léo và tinh tế để sau này có thể phục hình răng giả thẩm mỹ trên Implant và đạt chức năng nhai tốt. Tuy nhiên, đó chỉ là một tiểu phẩu. Sau khi thực hiện, bệnh nhân có cảm giác đau như khi nhổ 1 răng thông thường. Khi được cấy vào trong xương hàm, Implant cần một khoảng thời gian từ 3-6 tháng để dính chắc vào xương, từ chuyên môn gọi là “Tích hợp xương”.


Sau đó chiếc răng giả mới được “vít” vào trụ Implant. Như vậy, thời gian từ lúc đặt Implant cho đến lúc hoàn tất răng giả bên trên khoảng 4 – 7 tháng, trong lúc chờ có răng thật, bệnh nhân có thể mang răng tạm hay hàm tạm Ngày nay sự thành công của việc lắp đặt Implant răng đã đư ợc khẳng định, tỷ lệ tồn tại của Implant trên 10 năm là hơn 95%.

Nếu thất bại thì phần lớn sự thất bại là do 3 nguyên nhân sau: – Xương hàm không đủ thể tích để đặt được một Implant có đủ chiều dài cần thiết (do để răng mất quá lâu không làm răng giả).

– Thực hiện răng giả trên Implant sai kỹ thuật dẫn đến hậu quả Implant bị quá tải và lung lay.
– Giữ gìn vệ sinh răng miệng kém. Khi đó mảng bám, vi khuẩn tích tụ ở kẽ nướu quanh Implant gây viêm nướu, tiêu xương làm Implant lung lay phải nhổ đi.




Xem thêm : Niềng răng | Cách chữa sâu răng hiệu quả
Read more…

IMPLANT-AESTHETICA là gì ?

11:58 |
IMPLANT-AESTHETICA

Implant Aesthetica là một implant nha khoa xuyên nướu dùng cho phẫu thuật một thì. Nó đặc biệt thích hợp bù đắp phần tiêu xương do mất răng từ lâu hoặc để điều chỉnh độ cao thích hợp cho phục hình răng sau, độ chôn vùi có thể thay đổi với 3 dạng cổ khác nhau có thể đáp ứng cho mọi ca lâm sàng.

Đặc điểm về kỹ thuật

• Tương thích kết nối Straumann: kết nối lục giác trong và cône Morse.
• Độc quyền euroteknika: Các ren nhuyễn ở phần cổ implant đồng bộ hóa (song song) với ren to ở phần thân implant.
• Các ren kép đặc trưng.
• Bề mặt xử lý công nghệ SL.

Xem thêm các bài viết khác về : Niềng răng

Read more…

Răng hư tổn và phương pháp điều trị

01:03 |
Một trường hợp răng chen chúc thực sẽ được chỉnh sửa bằng mắc cài hoặc bằng dụng cụ làm thẳng răng. Những trường hợp nhẹ có thể chỉnh bằng dụng cụ làm thẳng răng trong khi những trường hợp nặng thì bắt buộc phải có sự can thiệp bằng mắc cài. Ngày nay các mắc cài sứ sẽ đảm bảo được tính thẩm mỹ hơn là mắc cài kim loại. Mắc cài hiện nay rất dễ mang và không tạo sự khó chịu.




Nếu răng bị hư hỏng nặng, không thể chữa được và bắt buộc phải nhổ bỏ, thì có thể khôi phục lại bằng Implant. Với kỹ thuật cắm Implant răng sẽ giúp bạn có một chiếc răng mới. Trước đây việc cắm Implant có thể kéo dài hàng tháng và với nhiều đau đớn. Ngày nay việc cắm Implant có thể thực hiện nhanh hơn và ít chấn thương. Với kỹ thuật CT Scan, bác sĩ có thể tìm vị trí tối ưu để cắm Implant, nha sĩ sẽ sử dụng 1 mũi khoan có kích cỡ trùng với kích cỡ của Impalnt để giảm thiểu chấn thương. Bạn sẽ rời khỏi ghế với một chiếc răng mới trong miệng.





Một nụ cười hở nướu cũng là vấn đề của rất nhiều người. Cho dù bạn có hàm răng đẹp, nếu quá nhiều nướu bị lộ ra sẽ làm cho răng của bạn ngắn lại. Ngày nay với kỹ thuật laser, vấn đề cười hở nướu có thể được giải quyết. Nướu của bạn sẽ được cắt chỉ trong vài phút mà không đau đớn gì.



Read more…

Nguyên nhân và cách phòng tránh bệnh sâu răng

10:50 |
Sâu răng là một quá trình rất chậm. Sâu răng thường gây ra bởi vi khuẩn gây sâu răng ẩn trong răng. Vi khuẩn gây sâu răng có thể cũng làm nhiễm trùng, dẫn đến răng lung lay và mất răng nếu không được chữa trị kịp thời.


Cách tốt nhất để phòng tránh sâu răng là nên đánh răng, dùng chỉ nha khoa và súc miệng bằng nước súc miệng có Flour thường xuyên là gặp nha sỹ định kỳ 2 lần/ năm. Bạn cũng nên tránh ăn hoặc uống nước có nồng độ đường quá cao.

Nguyên nhân gây sâu răng:

Sự kết hợp của thức ăn đóng trên mặt răng và vi khuẩn trong miệng là môi trường dẫn đến sâu bề mặt men và ngà răng. Thức ăn như tinh bột, đường, sau khi ănnếu không được đánh răng sẽ dính trên mặt răng. Vi khuẩn trong miệng sẽ ăn những thức ăn dính trên mặt răng và tạo ra một lớp acid trên bề mặt răng, dẫn đến sâu răng.




Các triệu chứng của sâu răng:

Răng sâu thường không có triệu chứng gì, trừ khi lỗ sâu đã được hình thành rõ ràng trên mặt răng. Khi lỗ sâu được hình thảnh rõ ràng, bạn có thể bị đau răng.

Chẩn đoán sâu răng:

Nha sỹ có nhiều cách chẩn đoán sâu răng khác nhau. Thông thường nha sỹ sẽ chụp phim X-Quang hàm răng của bạn và dùng 1 dụng cụ nhỏ có đầu nhọn hay còn gọi là thám châm để thăm dò sâu răng.




Xem thêm bài viết về : Niềng răng
Read more…

Có thể Implant sau khi niềng răng không

16:14 |
 Niềng răng giúp răng bạn đều và đẹp cải thiện độ thẩm mỹ của răng miệng.Nhiều câu hỏi được đặt ra là sau khi niềng răng xong có thể trồng thêm răng được không ?


Sau khi niềng răng xong thì bạn có thể làm răng sứ để đóng khoảng hở, tuy nhiên nếu làm răng sứ thì lưu ý là bạn sẽ phải mài răng thật hai bên để làm "trụ" giữ răng giả nhé.

Nếu bạn muốn làm implant thì tất nhiên là được và cách làm này tốt hơn về mọi mặt do không ảnh hưởng gì đến răng thật của bạn, tuy nhiên chi phí cho implant là hơi cao. Nếu bạn có thể đủ chi phí để làm implant  thì thật sự là không nên do dự.

Thời gian hoàn thành 1 ca cắm implant thì hơi lâu do sau khi cắm implant nha khoa xong (giống như cắm 1 chân răng giả vô xương) thì bạn tốt nhất là đợi khoảng 2 tháng cho implant ổn định trong xương rồi sau đó mới làm thân răng giả bên trên. Thời gian cắm 1 implant thì không lâu, còn công đoạn làm răng giả thường mất khoảng gần 2 tuần, chỉ lâu là việc chờ đợi. Trong thời gian chờ đợi, bạn sẽ có răng tạm để dùng tạm.







Cho dù là răng sứ trên implant hay là răng sứ thông thường thì tuổi thọ của nó phụ thuộc rất nhiều vào cách bạn sử dụng nó. Nếu bạn có thói quen ăn đồ cứng như nhai đá, nhai xương, hoặc không giữ vệ sinh răng miệng kỹ, không đi cạo vôi định kỳ để bị viêm quanh implant hoặc viêm nha chu trên 2 răng trụ giữ răng sứ thì đương nhiên tuổi thọ của răng không thể bền được. Răng thật chúng ta còn bị sâu, có khi phải nhổ bỏ thì không có lý do gì răng giả lại tồn tại suốt đời với chúng ta được.
Read more…

Lợi sưng đỏ là bị sao ?

14:04 |
Vùng thịt ở chỗ tiếp giáp giữa hàm trên và hàm dưới ở phía trong cùng bên trái bị sưng, đỏ, đau thì là bị sao ?

Theo mô tả thì  đó không phải là 1 cục mủ đâu mà cục trắng trắng đó chính là 1 phần răng khôn nhô lên. Chính vì răng khôn của bạn mọc không lên được hết mới kích thích gây viêm, đau như vậy.



Tất nhiên cũng không thể chủ quan mà nghĩ rằng đó chắc chắn không phải là mủ, bạn thử sờ thử cục trắng trắng đó cứng hay không? Nếu cứng thì đó là thân răng khôn, còn nếu khối trắng đó mềm như mô nướu bình thường thì có thể là mủ. Tốt nhất bạn nên đi khám nha khoa để biết chắc về bệnh của mình.

Cho dù là viêm do răng khôn hay thực sự miệng bạn có mủ thì đều phải điều trị triệt để tranh biến chứng, nước muối không phải là thuốc chữa bệnh, đương nhiên nó không có tác dụng gì đối với bệnh của bạn cả.

Nếu là do răng khôn, bác sĩ có thể sẽ cho bạn toa thuốc uống để bớt viêm trước rồi mới nhổ răng được. Răng khôn bắt buộc phải lấy ra, nếu không sẽ bị tái đi tái lại nhiều lần.





Nếu là mủ, nha sĩ sẽ tìm nguyên nhân gây ra mủ là gì, thông thường thì sẽ có 1 răng chết tủy gần đó. Trong trường hợp này phải lấy tủy, nếu không mủ sẽ ngày càng nhiều làm răng lung lay nặng hoặc lan ra làm ảnh hưởng các răng kế cận.




Xem thêm bài viết về : Niềng răng | Tay trang rang
Read more…

Mô phỏng cách ghép Implant

15:06 |
Để ngăn chặn lại những hậu quả trên, hiện nay giải pháp: cắm ghép Implant là một trong những phương pháp tối ưu nhất để phục hình răng mất.


Implant là một trụ nhỏ làm bằng chất liệu titan, được cấy vào trong xương hàm, trụ Implant kết hợp vững chắc vào xương đóng vai trò như một chân răng, trên đó gắn mão răng bằng sứ giống như răng thật.Implant nha khoa giúp ăn nhai thoải mái, thẩm mỹ cao, tồn tại lâu dài, ngăn chặn sự tiêu xương, giúp xương hàm khoẻ mạnh. Răng cấy ghép Implant hoàn toàn phù hợp với sinh lý tự nhiên, không gây hại đến cơ thể.


Với hệ thống CTScan hiện đại nhất sẻ phân tích hình ảnh 3 chiều giúp Bác sĩ chẩn đoán chính xác phần xương hàm vùng phẫu thuật để cắm ghép Implant an toàn và đạt hiệu quả cao. Với những ưu điểm đó, implant là kỹ thuật tiến bộ hơn hẳn giải pháp cầu răng hay hàm giả tháo lắp.




Xem thêm các bài viết về : Niềng răng | Sâu răng
Read more…

Cách khắc phục và điều trị răng bị mẻ

10:42 |
Răng bị mẻ từ từ khiến cho bạn cảm thấy khó chịu trong cả giao tiếp và sinh hoạt.Vậy nguyên nhân và cách khắc phục vấn đề này như thế nào .




Nguyên nhân làm cho răng bị mẻ có thể do sâu răng, cắn phải vật cứng, ăn nóng rồi uống lạnh hoặc do chấn thương (tai nạn giao thông, va chạm trong sinh hoạt, thể thao)...

Một khi răng bị gãy, mẻ, điều quan trọng đầu tiên là tủy răng bị lộ ra hoặc bị tổn thương. Phương pháp điều trị là tùy thuộc vào tủy răng và số lượng của cấu trúc răng còn lại, BS nha khoa sẽ tư vấn cho bạn các phương pháp điều trị thích hợp như: trám, mão sứ …




Nếu răng bị mẻ nhưng không thế trám lại được, hoặc không cần thiết phải bọc sứ. Khi đó, sẽ có phương pháp là “Inlay hoặc Onlay”. Inlay và Onlay chỉ bao phủ một phần bề mặt răng, không giống như mão sứ bao phủ toàn bộ răng.




Xem thêm các bài viết khác về : Niềng răng
Read more…

Răng ê buốt và cách khắc phục

15:48 |
 Răng ê buốt là trường hợp thường gặp khi ăn uống đồ quá lạnh hay quá cay nóng....nhưng hiện nay với những trường hợp bị mòn men răng cũng gây ra cảm giác ê buốt răng.Vậy làm thế nào để khắc phục điều này ? Đây là câu hỏi được rất nhiều quan tâm và thắc mắc,dưới đây là một số phương pháp có thể khắc phục điều này.



1. Sử dụng kem đánh răng cho răng nhạy cảm

Ngày nay, có rất nhiều loại kem đánh răng giúp làm giảm độ ê buốt khi răng tiếp xúc với thực phẩm. Các loại kem đánh răng này chứa các hợp chất giúp làm giảm độ nhạy cảm khối truyền cảm giác từ bề mặt răng đến các dây thần kinh.





Tuy nhiên, không phải bất kỳ loại kem đánh răng nào được quảng cáo là dành cho răng nhạy cảm cũng đáng sử dụng. Các chuyên gia khuyên chúng ta chỉ nên dùng các loại kem đánh răng đã được FDA (Cục Dược phẩm và Thực phẩm Mỹ) công nhận về tính an toàn và hiệu quả, các loại kem này sẽ có con dấu CDA trên bao bì. Hầu hết mọi người sẽ cảm thấy một sự khác biệt tích cực trong vòng một tuần đến 10 ngày sử dụng.

2. Chọn loại bàn chải đánh răng mềm lông

Nếu bạn muốn giữ lớp bảo vệ răng của bạn lâu dài nhất có thể, việc đầu tiên cần phải làm là thay loại bàn chải bình thường với phần răng cứng bằng các loại bàn chải đặc biệt có lớp răng bàn chải mềm mại.




Các loại bàn chải mềm vẫn có khả năng làm sạch răng hiệu quả và đồng thời không làm tổn thương lớp men răng cũng như nướu răng. Một lần nữa, các chuyên gia chăm sóc sức khỏe răng miệng khuyến khích bạn dùng các loại bàn chải đã được FDA chứng nhận.

3. Chọn các sản phẩm chăm sóc răng có chứa Florua

Florua là một chất đóng vai trò vô cùng quan trọng đối với sức khỏe răng miệng của chúng ta. Florua có thể bảo vệ, góp phần tái tạo và tăng cường bề mặt răng đã bị khử khoáng và làm mòn bởi các loại axit do vi khuẩn sản sinh ra.



 Vì vậy, để tái tạo men răng cho răng nhạy cảm, bạn cần dùng các loại nước súc miệng và kem đánh răng có chứa florua .

4. Cắt các loại giảm thực phẩm và đồ uống chứa axit

Thay đổi chế độ ăn uống của bạn là một trong những biện pháp hiệu quả nhất để loại trừ cảm giác ê buốt. Những loại thực phẩm có chứa thành phần axit không chỉ làm xói mòn men răng, gây hư tổn bề mặt răng mà còn tạo cảm giác đau buốt cho những người có răng nhạy cảm. Những thực phẩm chứa axit bao gồm các loại nước ngọt có gas, nước trái cây như cam, chanh…

5. Vệ sinh răng miệng hàng ngày

Đây là cách tốt nhất để không bị sâu răng, viêm nướu, viêm nha chu… Sâu răng và viêm nha chu là hai bệnh dễ dàng kích thích tủy răng làm cho răng dễ bị phản ứng với thực phẩm nóng, lạnh, hay bị ê buốt khi ăn đồ ngọt. Vì vậy, thường xuyên vệ sinh răng miệng và đi khám nha khoa định kỳ là cách tốt nhất để bảo vệ sức khỏe răng miệng.




Xem thêm các bài viết về : Niềng răng
Read more…

Bạn đã biết cách đánh răng cho trẻ chưa ?

23:36 |
Để ngăn ngừa sự thành lập mảng bám thì điều quan trọng nên làm là chải sạch kỹ lưỡng răng và nướu mỗi ngày ít nhất 2 lần. Khi chải răng cần nhớ là mỗi răng của chúng ta có đến 5 mặt: mặt ngoài, mặt trong, 2 mặt bên gần xa và mặt nhai (răng cối), hay bờ cắn (răng cửa). Và chỉ có một cách duy nhất chắc chắn giúp ta phòng ngừa bệnh lý răng miệng như sau rang… là làm sạch tất cả các mặt của răng.



Hiện nay có nhiều kỹ thuật chải răng khác nhau và tốt nhất bạn nên hỏi ý kiến nha sĩ điều trẻ cho bạn để biết mình nên theo phương pháp chải răng nào là phù hợp nhất khi chải răng.
•    - Chải mặt ngoài các răng cửa, đặt bàn chải nghiêng một góc 45 độ hướng về phía bờ nướu.
•    - Bắt đầu chải mặt nhai với bàn chải trẻ em có sợi lông mềm, dùng động tác đẩy tới lui với biên độ ngắn.
•    - Di chuyển vào răng trong chải nhẹ nhàng.
•    - Chải mặt trong các răng cửa dưới, giữ bàn chải thẳng đứng, dùng phần đỉnh bàn chải chải nhẹ theo hướng từ nướu đến bờ cắn.
•    - Phải chắc chắn rằng các răng sau và nướu được làm sạch đúng mức.
Nên thay bàn chải của trẻ khi lông bàn chải bắt đầu tòe ra, thường thì mỗi 3 tháng một lần.

Xem thêm các bài viết về : Niềng răng | Nha khoa
Read more…

Răng mọc chậm có ảnh hưởng gì đến trẻ không ?

00:41 |
Trẻ mọc răng chậm là nỗi lo của nhiều bậc phụ huynh, tuy nhiên bác sĩ nha khoa cho biết nỗi lo đó thường là không cần thiết.



Theo lời khuyên của các trung tâm nha khoa thì cha mẹ không nên quá lo lắng vì con mọc răng chậm, không nên so sánh với các bé khác vì thời gian mọc răng của mỗi bé không giống nhau. Thông thường răng sữa mọc trong thời gian từ 6 đến 30 tháng tuổi. Tuỳ từng trẻ mà bộ răng sữa mọc xong lúc 2-3 tuổi với đầy đủ 20 răng.

Răng của bé mọc theo nguyên tắc cộng 4: Khoảng tháng thứ 7 thì mọc răng cửa, tháng 11 mọc đủ 4 răng cửa; tháng 15 mọc đủ 8 răng cửa; tháng 19 mọc thêm 4 răng hàm nhỏ; tháng 23 mọc thêm 4 răng nanh; tháng 27 mọc thêm 4 răng số 5. Các răng vĩnh viễn bắt đầu mọc từ 6 đến 12 tuổi, trừ răng khôn thì mọc muộn hơn khoảng sau 17 tuổi.

Có bé 4 tháng đã mọc răng, có bé lại muộn hơn tới 9-10 tháng. Đây là hiện tượng bình thường, phụ huynh không nên quá lo lắng. Nếu gia đình vẫn chưa yên tâm thì có thể đưa các bé đi khám, chụp phim X-quang để xác định xem có vấn đề gì bất thường không.

Trẻ bị thiếu canxi thường chậm mọc răng hơn các bé khác. Tuy nhiên, mọc răng sớm không có nghĩa là đủ canxi. Có nhiều trẻ mới đẻ ra đã có răng, đây là quá trình sinh lý bình thường. Nếu 3 tháng đã mọc răng thì cũng không có gì phải lo lắng.

Đối với các bé mọc răng sớm, cha mẹ cần để ý nhiều hơn đến chế độ ăn uống của trẻ. Trẻ mọc răng có thể bị đau, sốt dẫn đến mệt mỏi chán ăn, vì vậy trong giai đoạn này không nên quá để ý đến cân nặng của trẻ.





Xem thêm các bài viết về : Sâu răng | Niềng răng
Read more…

Những điều cần biết về đánh răng cho trẻ

11:11 |
Nhiều nghiên cứu trên thế giới đã chứng minh rằng nếu chúng ta chăm sóc răng, lợi cẩn thận ngay từ giai đoạn sớm, răng sữa phát triển tốt thì răng vĩnh viễn cũng sẽ chắc khỏe suốt đời.









Trẻ thường mọc chiếc răng đầu tiên vào khoảng 6 tháng tuổi, nhưng theo các bác sĩ của Chương trình Healthy Family (Hoa Kỳ) ngay trước khi trẻ có răng, các bà mẹ cũng nên chú ý chăm sóc, vệ sinh nướu cho trẻ sạch sẽ bằng gạc mềm thấm nước sạch ngay sau khi cho trẻ ăn hoặc bú sữa.







Khi trẻ bắt đầu mọc chiếc răng đầu tiên, các bà mẹ nên dùng gạc hoặc khăn vải ướt quấn quanh ngón tay, lau sạch cả mặt trước, mặt trong và xung quanh chiếc răng mới cho trẻ. Đồng thời cũng cần chú ý vệ sinh cả nướu răng.
Lên 3 hay 4 tuổi, là thời điểm tốt nhất tập cho trẻ sử dụng kem đánh răng. Nên nhớ hãy mua đúng loại bàn chải và kem đánh răng dành cho trẻ em để đảm bảo chắc chắn rằng lợi của bé không bị tổn thương và sâu răng.






Lúc đầu, chỉ nên sử dụng một ít kem và hướng dẫn trẻ không được nuốt kem. Vì việc tiêu thụ nhiều chất fluor không chỉ gây hại cho sức khỏe, mà còn ảnh hưởng đến chất lượng men răng của trẻ sau này.

Bạn có thể giám sát hoặc giúp bé chải răng vì bé chưa có ý thức để chủ động chải sạch răng và tay bé cũng chưa đủ khoẻ để chà sạch các mảng bám trên mặt răng. Không ít các gia đình chủ quan, tin rằng con đã 4 - 5 tuổi, có thể tự đánh răng mỗi tối, nhưng lâu dần vẫn thấy răng có mảng bám, vàng ố và bắt đầu bị sâu.





Xem thêm các bài viết khác về : Niềng răng


Read more…

Các khí cụ trong niềng răng -chỉnh nha hiện nay

11:21 |
Niềng răng chỉnh nha hiện là một trong những phương pháp nha khoa thẩm mỹ đang rất được ưa chuộng hiện nay.Việc sử dụng khí cụ trong nắn chỉnh răng là điều không thể thiếu,vậy hãy cùng tìm hiểu qua một số khí cụ được ưu tiên sử dụng trong niềng răng



Các khí cụ trong nắn chỉnh răng hô:

Nắn chỉnh răng dùng khí cụ tháo lắp: Là khí cụ mà bệnh nhân có thể tự tháo ra và mang vào miệng dễ dàng.
Thuận lợi của loại khí cụ này là trẻ có thể tháo ra theo ý muốn nên dễ được chấp nhận. Khí cụ thích hợp với những trường hợp ở giai đoạn xương hàm đang phát triển và chi phí thấp.




Bất lợi của loại khí cụ này là kết quả điều trị phụ thuộc nhiều vào thái độ hợp tác của bệnh nhân vì chỉ có tác dụng khi mang vào miệng. Khí cụ này không điều chỉnh được những răng phức tạp.
Do những bất lợi này, khí cụ tháo lắp thường được sử dụng trong giai đoạn đầu của quá trình điều trị và sau thường được thay thế bằng khí cụ cố định.

Nắn chỉnh răng dùng khí cụ cố định:

Khí cụ này được gắn chặt lên răng và có rất nhiều ưu điểm: kết quả điều trị ít phụ thuộc vào bệnh nhân, điều trị cho hiệu quả tốt đối với những trường hợp răng lệch lạc phức tạp.

Khí cụ cố định được gắn lên mặt ngoài của răng (mắc cài) nếu bằng kim loại thì sẽ có màu kém thẩm mỹ nhưng hiện nay đã có mắc cài sứ, composit có màu như men răng nên khi mang sẽ đẹp hơn.
Sau khi các răng đều ngay ngắn thì khí cụ này sẽ được tháo ra. Tuy nhiên nhược điểm của điều trị bằng khí cụ cố định là chi phí cao.

Hiện nay hai loại khí cụ này được dùng phổ biến để nắn chỉnh răng cửa và mang lại nhiều hiệu quả rất tốt, ngoài ra còn có khí cụ tháo lắp chuyên dụng để giúp trẻ loại bỏ các thói quen xấu gây ảnh hưởng tới răng như sự ngay ngắn của răng,các bệnh về răng như nha chu,sâu răng....

Trong mọi trường hợp, khi nắn răng bệnh nhân cần đến gặp bác sĩ tại các trung tâm nha khoa đều đặn để được khám lại và theo dõi thường xuyên.

Thời gian nắn chỉnh nha cửa tùy thuộc vào tình trạng khấp khểnh và lứa tuổi, trung bình kéo dài 12-36 tháng.
Read more…

Phục hồi răng đã mất tại Nha Khoa Hoàn Mỹ

14:50 |
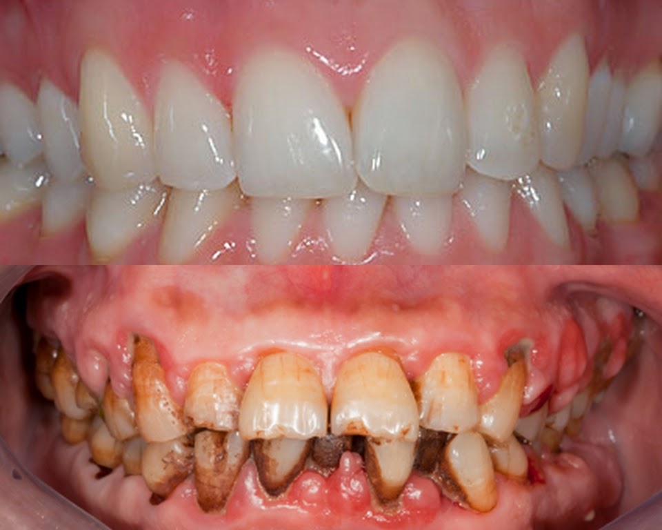
Mất răng là một trong những vấn đề có ảnh hưởng rất lớn đến răng miệng và là nguyên nhân gây ra nhiều sai lệch về răng.Thiếu răng nếu không kịp thời khắc phục thì  không chỉ khiến mất thẩm mỹ mà còn làm hàm răng bị xiêu vẹo lệch lạc khiến chúng ta phải mất thêm chi phí để niềng răng,chỉnh nha….



Chỉ cần dành một vài phút nhìn vào gương, chúng ta sẽ dễ nhận ra hàm răng của mình bị xiêu vẹo, lệch lạc hay xương hàm bị thoái hoá ra sao nếu chẳng may hàm răng chúng ta không còn nguyên vẹn. Mất răng ngoài việc làm cho sự nhai của chúng ta bị trở ngại còn tạo điều kiện cho bệnh sâu răng và nướu răng phát triển. Về mặt tâm lý, người bị mất răng sẽ mất tự tin. Bệnh nhân mất răng do sử dụng không đồng đều số răng còn lại, khớp cắn sẽ thay đổi, răng và khớp hàm sẽ bị tổn thương. Theo nguyên tắc domino (một quân cờ đổ sẽ làm cho những quân cờ khác đổ theo), dưới tác động của nhiều yếu tố bất lợi khác, răng sẽ bị gãy đổ, lung lay và sẽ lần luợt rời bỏ vòm trời thân yêu của chúng.




Trong số những biến chứng của mất răng chúng tôi cho rằng sự thoái hóa của xương hàm là nguy hiểm nhất. Theo định luật Wolf, sau 5 năm mất răng xương hàm sẽ bị thoái hóa khoảng 50-60 % cả về chiều cao, bề dầy và độ đậm đặc (density). Và một khi xương hàm bị thoái hóa trầm trọng mọi cố gắng phục hồi xương và răng sẽ trở nên phức tạp và tốn kém hơn rất nhiều.
Tóm lại, hàng loạt những khó khăn về chức năng, thẩm mỹ, tâm lý và bệnh lý mà người bệnh phải đối đầu do bị mất răng mà không có những phương thức phục hồi thích hợp.
Nếu bạn mất răng vì một lý do nào đó, Nha Sĩ tại các trung tâm nha khoa sẽ chẩn đoán và thường giới thiệu ba phương thức phục hồi:

  •  Làm răng giả
  •  Làm cầu răng 
  •  Trồng răng Implant.
Làm răng giả tuy ít tốn kém nhưng thiếu hiệu quả và sự thoải mái cần thiết. Cầu răng thông dụng hơn nhưng sự lâu bền phụ thuộc nhiều vào các răng dùng làm trụ cầu. Hơn nữa, do sự thoái hóa của xương, theo thời gian cầu răng và răng giả sẽ tạo ra những rắc rối mới cả về chức năng và thẩm mỹ.
Read more…

Nên chọn phương pháp niềng răng nào

16:21 |
Không phải ai sinh ra cũng đã có hàm răng đẹp như ý muốn của mình, một trong số đó là những người có hàm răng vẩu ra, vẩu vào làm ảnh hưởng đến chức năng nhai của hàm răng. Trường hợp như thế thì nhất thiết phải đi niềng răng.Vậy nên chọn phương pháp chỉnh răng nào cho phù hợp nhất với mỗi người



Niềng răng phương pháp dành cho răng bị mọc lệch lạc đã khiến họ cảm thấy mất tự tin về bộ răng không đẹp của họ có nhiều người răng lại mọc thưa quá hàm răng không khít nhau. Vì vậy nhu cầu chỉnh răng được các nha sỹ nha khoa khuyên bạn nên dùng vì chỉnh răng giúp bạn có hàm răng như ý muốn và đẹp hơn rất nhiều so với hàm răng cũ



Hiện nay có rất nhiều biện pháp chỉnh răng hiệu quả cao nếu các bạn không đủ khả năng về kinh tế thì nên chọn phương pháp chỉnh răng đeo mắc cài thời gian đeo mắc cài là từ 1năm-2 năm. Khi mới đeo thì sẽ gây cảm giác hơi khó chịu cho người dùng và cũng hạn chế ăn uống những thức ăn gây ảnh hưởng cho răng nếu các bạn không muốn đeo mắc cài thì hãy dùng phương pháp chỉnh răng mới không cần đeo mắc cài sẽ thoải mái hơn bạn có tự tin cười nói thoải mái mà không cần lo lắng gì về việc vướng víu mắc cài. Hãy chọn cho mình một phương pháp tốt nhất nhé


Xem thêm các bài viết về : Sâu răng
Read more…

Những trường hợp nào thì không nên tẩy trắng răng

22:58 |
Những người có cổ chân răng bị mòn, thiểu sản men răng, răng sâu nhiều. Phụ nữ có thai hoặc cho con búvì chưa có nghiên cứu nào xác định được mức độ an toàn của các sản phẩm tẩy trắng răng với phụ nữ trong khi mang thai hoặc cho con bú. Trẻ em dưới 18 tuổi.



Dưới độ tuổi này buồng tủy còn rộng, thuốc tay trang rang có thể làm kích thích tủy làm răng nhạy cảm nhiều hơn. gây viêm nướu, viêm quanh răng, sâu răng, tụt nướu lộ chân răng, có thể làm tăng sự ê buốt răng khi tẩy trắng răng.


Người có tâm thần không ổn định. Người có răng quá vàng và nhiễm sắc do tetracycline có màu nâu sậm thì tẩy trắng răng không có kết quả. Người bị viêm nướu.



Người có răng quá nhạy cảm. Người dị ứng với các thành phần thuốc tẩy trắng răng Peroxide.


Xem thêm các bài viết về : Niềng răng
Read more…

4 điều nên biết khi niềng răng ở trẻ em

11:57 |
Trẻ em là lứa tuổi đang phát triển nên thường rất nhạy cảm với những tác động xung quanh đặc biệt là tác động vào chính bản thân mình.Do vậy,trong quá trình niềng răng thì dưới đây là những điều cực kỳ quan trọng mà cha mẹ trẻ nên biết để chuẩn bị tốt nhất cho trẻ có thể đạt hiệu quả cao nhất trong quá trình niềng răng




1. Chỉnh răng giúp răng thẳng

Thông thường, cha mẹ trẻ chỉ chú ý đến vấn đề răng của trẻ có đều và mọc ngay thẳng hay không. Tuy nhiên, nha sĩ niềng răng sẽ có một góc nhìn khác hơn, như là sự vận động và phát triển của hàm và sử dụng phim x quang để chẩn đoán sớm các sai lệch về mầm răng, thiếu hay dư mầm răng,sâu răng, răng mọc có chen chúc không, có hô hay móm không.

2. Đưa trẻ đến khám nha sĩ chỉnh răng khi 8 – 11 tuổi

Thường các bậc cha mẹ đưa trẻ đến nha khoa ở độ tuổi 12- 14 tuổi, lúc này các răng vĩnh viễn đã mọc gần hết. Khi đến các bác sĩ nha khoa sẽ ước rằng có thể khám cho trẻ ở độ tuổi sớm hơn, vì có thể can thiệp sớm. Để có thể đưa ra những liệu pháp kịp thời cho sự phát triển của răng.

3. Hiểu được các tiến bộ trong kỹ thuật chỉnh nha:

Trong những năm vừa qua, kỹ thuật chỉnh nha có những bước tiến mới về điều trị chỉnh nha không mắc cài như Invisalign và Clear Aligner. Nhờ có thể tháo ra trong thời gian ăn, nên trẻ có thể ăn uống bình thường và dễ dàng vệ sinh hơn sau khi ăn.

4. Chuẩn bị tâm lý cho trẻ

Cần giải thích cho trẻ hiểu được sự cần thiết của việc chỉnh nha, sự đồng thuận và hợp tác của trẻ sẽ giúp việc điều trị hiệu quả hơn.

Read more…

Niềng răng và những công dụng mà bạn chưa biết

21:56 |
Khá nhiều người chỉ nghĩ rằng chinh nha làm cho hàm răng đều đặn hơn. Thật ra khi điều trị chỉnh răng, bác sĩ phải cân nhắc và đưa ra rất nhiều mục tiêu điều trị khác kèm theo như:
 * Răng đều nhưng phải phù hợp với thẩm mỹ khuôn mặt, không bị hô hay móm thì mới đạt yêu cầu thẩm mỹ.



* Bạn đã có đủ các răng vĩnh viễn hay chưa? Nếu chưa, thì xem răng đó bị ngầm hay là đã nhổ? Nếu đã nhổ răng, thì khoảng trống đó có thể sẽ được đóng lại khi chỉnh nha, hoặc bác sĩ sẽ dặn dò bạn một kế hoạch trồng lại răng giả sau này.
* Các răng có chạm đều nhau không? Khớp cắn của bạn có tốt và bền vững?
Nhiều bác sĩ xem chỉnh răng như là một nghệ thuật. Nghệ thuật là ở lúc khi kết thúc “niềng răng“, nụ cười của bạn đẹp, có chức năng tốt và có tính thẩm mỹ cao.

Tính thẩm mỹ

Một số người tuy không thực sự cần niềng răng, nhưng khi nhận thức được lý do, họ cũng quyết định niềng răng vì muốn cải thiện hơn nữa nụ cười hoàn hảo của mình.
Thực tế, nhiều người đã có hàm răng khá thẳng vẫn sẵn sàng trải qua một vài tháng hoặc vài năm để chỉnh hình răng nhằm sở hữu một nụ cười hoàn hảo hơn.
Niềng răng có thể làm giảm áp lực cho quai hàm của các hàm răng hơi bị hô quá nhiều về phí trước có thể làm hại cho hàm răng như dẫn đến căng thẳng trong quai hàm, khiến bạn khó khăn trong các hoạt động nhai cắn. Thậm chí có thể bị cắn vào bên trong các mô ở bên kia hàm. Điều này cũng có thể gây tổn hại cho xương.
Không chỉ vậy còn có lợi cho sức khỏe của bạn sau này khi về già. Lúc khi về già gương mặt bạn sẽ trở nên mất cân đối, răng nhô ra, răng bị rụng,… bởi vậy chỉnh răng sớm sẽ giúp bạn có gương mặt cân đối, không bị nhô răng hay gặp nhiều sự cố khi về già nữa.
Tóm lại quyết định niềng răng bây giờ chính là cách bạn đang đầu tư cho sức khỏe nhằm hạn chế và giảm thiểu những bệnh tật đáng tiếc có thể xảy ra.
Hãy đến với Nha Khoa Hoàn Mỹ để được các bác sĩ nha lâu năm của chúng tôi tư vấn và thăm khám miễn phí, để có được quyết định đúng đắn cho việc chỉnh răng invisalign cho hàm răng tương lai của mình.


Xem thêm bài viết về : Sâu răng
Read more…

Bí kíp làm trắng răng bằng những thực phẩm trong nhà bếp

00:31 |
Bạn thường tốn nhiều tiền hay sử dụng nhiều loại thuốc để có được hàm răng trắng sáng nhưng những biến chức và tác dụng phụ của nó thì thật không phải đơn giản.Bạn có bao giờ nghĩ rằng để có hàm răng trắng đẹp, các bạn có thể tìm thấy chất liệu hữu hiệu từ một số loại trái cây và cà rốt ngay trong góc nội trợ của bạn.

 1.Vỏ Cam

Khi thưởng thức một quả cam ít ai biết được rằng phần thớ nằm dưới vỏ cam lại có tác dụng tẩy trắng răng rất tốt.Chính đây là bộ phận chứa nhiều vitamin C cùng với chất Limonene (chất được chiết suất để sử dụng nhiều trong các sản phẩm làm sạch).



Đồng thời đó còn là bộ phận không chứa bất kỳ chất a xit nào do đó hết sức an toàn cho răng.Vì vậy, sau khi ăn một quả Cam bạn có thể sử dụng phần thớ vỏ cam để đánh lên hàm răng của bạn.


2.Táo

Táo chứa nhiều axit malic – chất làm hòa tan các vết bẩn bám trên răng. Do đó, quá trình ăn Táo không những chỉ thưởng thức hương vị của Táo mà còn có tác dụng tẩy trắng răng.


Trên thực tế, nhiều sản phẩm làm trắng răng có chứa thành phần axit malic


3.Cà rốt

Cà rốt chứa nhiều vitamin A bổ ích cho răng chắc khỏe, đồng thời với chất giòn tan của chúng có tác dụng làm sạch chân răng cho bạn rất hiệu quả.



Vì vậy thỉnh thoảng nên thưởng thức hương vị tươi sống của một củ cà rốt sẽ có lợi cho hàm răng của bạn


Xem thêm : Niềng răng | Nha khoa uy tín
Read more…

Bài hay?